Identifican 290 variantes genéticas ligadas al envejecimiento reproductivo femenino

Publicado: Agosto 14,2021 7:31am
 Identifican 290 variantes genéticas ligadas al envejecimiento reproductivo femenino

Un mayor conocimiento sobre la pérdida progresiva de óvulos permitiría a las mujeres tomar decisiones más informadas sobre su vida reproductiva. Con el objetivo de descubrir más sobre las células reproductivas de la mujer, un grupo científico formado por más de 180 instituciones ha identificado 290 variantes del ADN que influyen en la menopausia y el envejecimiento reproductivo de las mujeres.

Este mapa genético -56 de estas variantes ya se habían identificado con anterioridad- se publica en la revista Nature y ahonda sustancialmente en el conocimiento sobre el proceso reproductivo, según sus responsables. Abre la puerta, además, a predecir mejor qué mujeres podrían llegar antes a la menopausia.

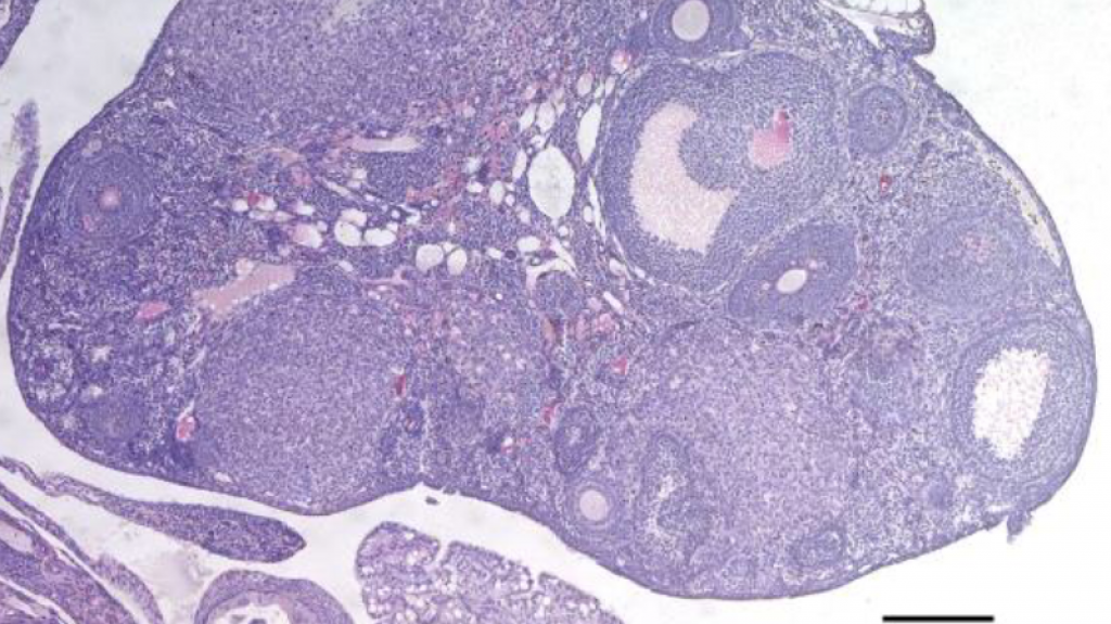
El equipo científico, que también manipuló con éxito en ratonas genes claves asociados a estas variantes logrando así incrementar su vida reproductiva, está codirigido por investigadores de las universidades británicas de Exeter y de Cambridge, la Universidad de Copenhague y la Universidad Autónoma de Barcelona (UAB).

El estudio puede servir de base para futuras investigaciones sobre nuevos enfoques terapéuticos que valgan para los tratamientos de infertilidad y para prevenir enfermedades, resume la revista.

Envejecimiento reproductivo

A pesar de que la esperanza de vida ha aumentado drásticamente en los últimos 150 años, la edad a la que la mayoría de mujeres pasa por la menopausia se ha mantenido más o menos constante, de media en torno a los 50 años, recuerdan sendas notas de la UAB y Exeter.

Las mujeres nacen con todos los óvulos que tendrán a lo largo de su vida y estos se van perdiendo progresivamente con la edad, lo que se conoce como envejecimiento reproductivo. Así, la menopausia se produce una vez han desaparecido la mayoría de estos óvulos, a pesar de que la fertilidad natural disminuye sustancialmente antes.

Pese a que este conocimiento es fundamental también para un envejecimiento saludable -la aparición de la menopausia podría aumentar el riego a padecer enfermedades óseas o diabetes de tipo 2- el envejecimiento reproductivo ha sido difícil de estudiar y los detalles sobre la biología subyacente son aún bastante limitados.

Para avanzar en este campo, los científicos analizaron datos, de distintas bases genéticas, de más de medio millón de mujeres en las que la menopausia se produjo entre los 40 y 60 años: la mayoría eran de ascendencia europea, pero también se incluyó a casi 80.000 de ascendencia asiática oriental, con resultados parecidos.

Procesos relacionados con la reparación del ADN

El examen de unos 13,1 millones de variantes genéticas permitió identificar 290 vinculadas al envejecimiento ovárico, de las que muchas están relacionadas con procesos de reparación del ADN.

"Hemos visto que el mecanismo principal al cual se asocian estas variantes está relacionado con la reparación del ADN", señala a Efe Ignasi Roig, uno de los autores del trabajo y responsable del equipo del Instituto de Biotecnología y Biomedicina de la UAB.

Y es que los mecanismos que controlan la calidad del ADN y regulan cómo se repara este cuando hay un daño son muy importantes para el mantenimiento del número de óvulos y la fundación ovárica, añade Roig, quien recuerda que la menopausia está asociada con la disminución de la cantidad de óvulos, así que cuanto más permanezcan estos en los ovarios más tarde llegará el cese de la menstruación.

En concreto, los científicos se fijaron en dos genes que regulan una amplia variedad de procesos de reparación del ADN -CHEK1 y CHEK2– y comprobaron, en experimentos en ratonas, que tanto cuando se elimina CHEK2 para que deje de funcionar como cuando se sobreexpresa CHEK1 para aumentar su actividad la duración de la vida reproductiva aumenta en un 25 % (entre otros, los óvulos tardan más en agotarse).

Pero la fisiología reproductiva de este animal difiere de la de las mujeres en varios aspectos, incluido que no tienen menopausia.

Continuar avanzando en el estudio del envejecimiento reproductivo

Para Roig, este hecho no desvirtúa las conclusiones del estudio porque, si bien no sufren menopausia, sí tienen un proceso de envejecimiento de la función ovárica muy parecido al de las mujeres.

Además, el equipo examinó la aparición de la menopausia en mujeres que de forma natural no tienen el gen CHEK2 activo y encontró que llegan a esta unos 3,5 años más tarde que aquellas con un gen normalmente activo.

Por otro lado, constataron que la mutación en el gen Brca1 comporta una adelanto de la menopausia (2,63 años).

En este sentido, Katherine Ruth, de la Universidad de Exeter, señala: "Esperamos que nuestro trabajo ayude a proporcionar nuevas posibilidades para ayudar a las mujeres a planificar el futuro".

Los investigadores también evaluaron el impacto sobre la salud de una menopausia anterior o posterior. Encontraron que una menopausia adelantada aumenta el riesgo de diabetes tipo 2 y está relacionada con una peor salud ósea y un mayor riesgo de fracturas, pero disminuye el riesgo de algunos tipos de cáncer, como el de ovario y el de mama.

"Esta investigación es increíblemente apasionante”, subraya John Perry, de la Universidad de Cambridge, quien concluye: a pesar de que aún queda mucho camino por recorrer, "ahora sabemos más sobre los mecanismos que regulan el envejecimiento reproductivo en las mujeres”, lo que ayudará a evitar algunos problemas de salud.

El siguiente paso, según Roig, es estudiar en animales cómo alargar la reserva de óvulos mediante fármacos.

EFE

ADVERTISING
.